Kits de blanchiment dentaire : attention danger pour votre sourire !

Vous rêvez d'un sourire éclatant digne des stars d'Hollywood ? Méfiez-vous des promesses alléchantes des kits de blanchiment dentaire en vente libre. Ces produits, souvent peu chers et faciles à utiliser, cachent en réalité de sérieux dangers pour vos dents et vos gencives. Avant de succomber à la tentation, découvrez tout ce que vous devez savoir sur les risques de ces kits et les alternatives sûres pour illuminer votre sourire.
Des produits mal encadrés et potentiellement dangereux
En France, seuls les chirurgiens-dentistes sont autorisés à pratiquer un blanchiment dentaire avec des produits contenant jusqu'à 6% de peroxyde d'hydrogène, la substance active qui éclaircit l'émail. Dans les kits vendus au public, ce taux est limité à 0,1% par la réglementation européenne. Problème : sur Internet notamment, de nombreux vendeurs peu scrupuleux proposent des produits dépassant largement cette concentration, avec des risques accrus pour la santé bucco-dentaire.
"C'est scandaleux !", s'indigne le Dr Philippe Bichet, président de l'Ordre des chirurgiens-dentistes de Meurthe-et-Moselle, qui a récemment porté plainte contre deux établissements pratiquant illégalement le blanchiment. "Utiliser des produits trop concentrés en peroxyde d'hydrogène peut brûler les muqueuses et les lèvres ou trop déminéraliser les dents", met-il en garde.
Gencives brûlées, dents fragilisées... les dangers du blanchiment "maison"
Outre ces soucis de concentration, les kits de blanchiment utilisés sans supervision d'un dentiste exposent à d'autres risques. "Même avec une faible dose de peroxyde d'hydrogène, le produit peut pénétrer profondément dans les dents en cas de carie non soignée et entraîner une nécrose de la dent", explique le Dr Christophe Lequart, porte-parole de l'UFSBD. Sur des gencives déjà irritées, ces gels blanchissants risquent aussi d'aggraver l'inflammation, voire de provoquer des brûlures parfois sévères.
À long terme, un usage trop fréquent de ces kits peut aussi fragiliser l'émail en le rendant plus fin et plus sensible. "C'est un cercle vicieux, car des dents poreuses auront ensuite tendance à se colorer plus facilement, poussant à blanchir encore plus", souligne le Dr Lequart. Sans oublier que ces produits n'agissent pas sur les couronnes ou les facettes, créant un effet disgracieux "dents patchwork" !
Comment retrouver des dents plus blanches en toute sécurité ?
Pour éclaircir votre sourire, mieux vaut miser sur des solutions naturelles et sans danger. Un détartrage régulier chez votre dentiste, associé à un polissage des dents, élimine en douceur les colorations superficielles liées au tabac, thé ou café. Certains dentifrices dits "blancheurs" peuvent aussi aider à préserver l'éclat des dents grâce à des agents nettoyants et polissants. Enfin, n'oubliez pas qu'une bonne hygiène bucco-dentaire reste le meilleur atout pour des dents saines et brillantes !
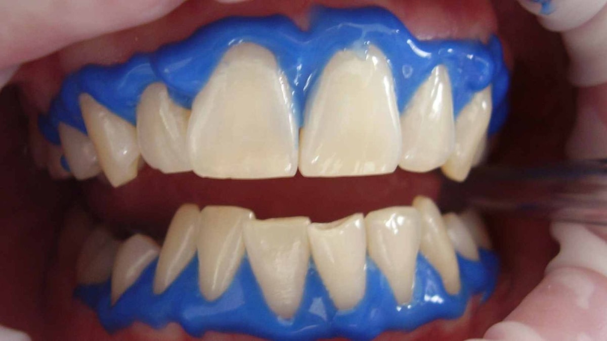
Si malgré ces gestes, la teinte de votre sourire ne vous satisfait pas, parlez-en à votre dentiste. Après un check-up complet pour vérifier l'absence de contre-indications (caries, gingivite...), il pourra vous proposer un blanchiment professionnel par gouttières sur-mesure, avec des produits adaptés et sous surveillance médicale. La clé d'un sourire étincelant en toute sérénité !
En conclusion, même si les kits de blanchiment dentaire grand public peuvent sembler pratiques et économiques, ils ne sont pas anodins pour la santé de vos dents et gencives. Entre concentrations de principes actifs parfois dangereuses, risques de brûlures ou de fragilisation de l'émail, mieux vaut s'en remettre aux conseils de votre dentiste pour illuminer votre sourire sans l'abîmer. Après tout, on n'a qu'un seul sourire pour toute la vie !